Durante el embarazo, el cuerpo de una mujer no solo alimenta y protege a su bebé: también configura las condiciones para el desarrollo cerebral del futuro ser humano. Pero, ¿qué ocurre cuando el sistema inmunitario se activa de forma anormal en esa etapa crítica? Un nuevo estudio ofrece una respuesta inquietante.
Científicos japoneses han descubierto que la inflamación prenatal interfiere con una población específica de células inmunitarias del cerebro en desarrollo, lo que podría afectar la formación de la mielina y aumentar el riesgo de trastornos como el autismo.
La investigación, publicada en Communications Biology por un equipo de la Universidad de Nagoya, analizó los efectos de la corioamnionitis (una inflamación de las membranas fetales) en cerebros en desarrollo. Los resultados muestran cómo un entorno inflamatorio en el útero puede retrasar procesos fundamentales en los primeros días de vida, con consecuencias duraderas.

Las microglías como guardianas del desarrollo cerebral temprano
En los primeros días de vida, el cerebro pasa por etapas críticas de maduración. Uno de los protagonistas de este proceso es un tipo particular de microglía —las células inmunitarias residentes del sistema nervioso— que expresan una proteína llamada CD11c.
Estas microglías no solo defienden el tejido cerebral, sino que también liberan IGF-1, un factor de crecimiento esencial para la formación de la mielina, la sustancia que recubre los axones y permite una comunicación rápida entre las neuronas.
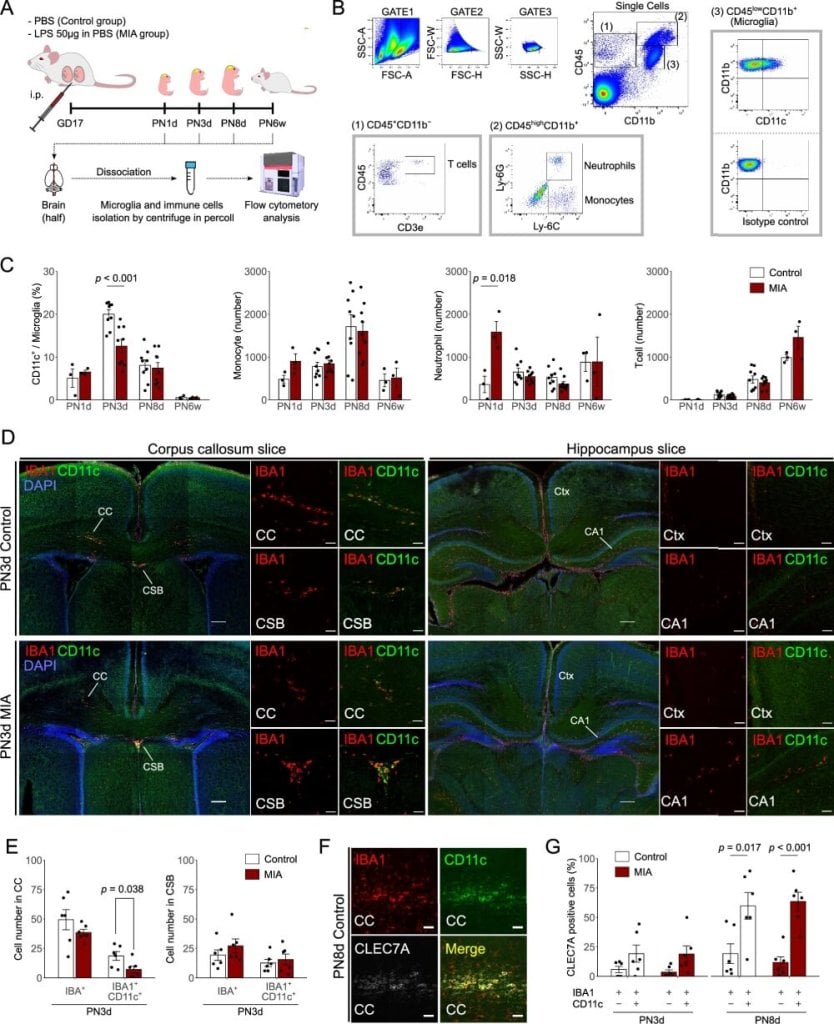
El estudio descubrió que la inflamación durante la gestación reduce significativamente la presencia de microglía CD11c+ en el cerebro.
En modelos murinos, los investigadores observaron que los ratones expuestos a una activación inmunitaria materna (MIA) mostraban menos células de este tipo en el cuerpo calloso al tercer día postnatal.
Además, había una reducción notable en proteínas como MBP y PLP, que indican niveles adecuados de mielinización.
Mielinización alterada: un sello de riesgo neurológico
La mielina actúa como una capa aislante que permite que los impulsos eléctricos viajen de forma eficiente en el sistema nervioso. Su formación ocurre intensamente en los primeros meses de vida, y retrasos en este proceso están vinculados a problemas cognitivos y conductuales.
En bebés humanos prematuros expuestos a corioamnionitis histológica (HCA) —una inflamación diagnosticada tras el parto mediante examen histológico—, los investigadores encontraron señales similares.
En particular, se detectaron niveles más bajos de IGF-1 en sangre de cordón umbilical y una mayor incidencia de maduración mielínica retrasada, observada mediante resonancia magnética.
Estos hallazgos sugieren que el entorno inflamatorio intrauterino puede tener efectos duraderos sobre el cableado cerebral y podrían ayudar a explicar la aparición de trastornos del neurodesarrollo en niños nacidos de embarazos complicados por infecciones o inflamación.

Citoquinas, cordón umbilical y pistas sobre el riesgo futuro
Un dato clave del estudio fue la medición de dos citoquinas inflamatorias —IL-6 e IL-17A— en la sangre de cordón umbilical. Ambas estaban elevadas en los recién nacidos con HCA.
Estas moléculas son conocidas por su papel en la activación inmunitaria y, en estudios previos, han sido implicadas en mecanismos asociados al autismo.
Simultáneamente, los niveles de IGF-1, hormona crucial para el desarrollo cerebral temprano, estaban disminuidos. Esta combinación sugiere que la inflamación no solo genera un entorno hostil, sino que también impide que el cerebro acceda a los factores que necesita para madurar de manera adecuada.
El desequilibrio entre señales proinflamatorias y factores de crecimiento podría ser una de las claves para entender por qué algunos niños desarrollan trastornos como el TEA (trastorno del espectro autista) tras exposiciones prenatales adversas.
¿Qué muestran los cerebros humanos sobre las microglías CD11c+?
Para ampliar el alcance del hallazgo, el equipo recurrió a bases de datos de expresión génica en cerebros humanos. Confirmaron que la expresión de CD11c (Itgax) en microglía es transitoria, tanto en ratones como en humanos, y ocurre en etapas críticas del desarrollo cerebral temprano.
En un análisis de muestras postmortem de niños con trastornos del neurodesarrollo, la expresión de esta molécula era más baja en comparación con controles neurotípicos.
Esto refuerza la idea de que estas microglías especiales podrían tener un papel protector que se ve interrumpido por la inflamación prenatal.
Un objetivo potencial para prevenir alteraciones en el desarrollo neurológico
La relevancia del estudio no se limita al diagnóstico. Los autores sugieren que las microglías CD11c+ y el eje IGF-1 podrían convertirse en dianas terapéuticas para proteger el desarrollo cerebral en bebés con antecedentes de inflamación prenatal.
En lugar de actuar cuando los síntomas ya son visibles, este enfoque permitiría intervenir en etapas muy tempranas, restaurando el equilibrio inmunitario en el cerebro en desarrollo y promoviendo una mielinización saludable.
Aún se necesitan estudios en humanos a largo plazo, pero la ruta está abierta: entender cómo el sistema inmunitario materno afecta al cerebro fetal puede ser la clave para prevenir daños neurológicos en la infancia.

Un nuevo mapa entre inmunidad prenatal y salud mental futura
Este estudio japonés conecta los puntos entre inflamación intrauterina, microglías especializadas y retrasos en la mielinización. Más allá del laboratorio, sus resultados ofrecen una mirada prometedora sobre cómo detectar y, potencialmente, modular los efectos invisibles de la inflamación durante el embarazo en la arquitectura cerebral infantil.
Comprender estos mecanismos moleculares y celulares puede marcar una diferencia profunda en la prevención.
Referencias
- Fuma, K., Iitani, Y., Imai, K. et al. Prenatal inflammation impairs early CD11c-positive microglia induction and delays myelination in neurodevelopmental disorders. Commun Biol. (2025). doi: 10.1038/s42003-025-07511-3