Recibir un traumatismo en un diente es diferente a cuando son muy pequeñitos, cuando aún les quedan varios años para que el diente dañado sea sustituido. ¿Qué hacer en estos casos?
Gael tiene dos añitos. Un día su mamá al ir a cepillarle los dientes se da cuenta de que uno de sus paletos ha cambiado de color. Lo tiene un poco más oscuro, de un color grisáceo. En casa y en la guardería todos se mostraron sorprendidos.
Es muy probable que el pequeño haya sufrido un golpe en el diente, algo muy habitual en el juego de los niños, que pasa desapercibido tanto para los padres como para sus cuidadores. Hasta un simple encontronazo con el vaso al beber, un cubierto o un juguete puede ocasionar el daño, sobre todo en esta preciosa etapa de aprendizaje.
¿Qué hay que hacer?
Lo primero que hay que hacer en una situación similar es llevarlo al dentista para que el profesional haga una valoración observando la pieza, la encía y el labio y raíz del mismo con una radiografía que nos contará si hay fractura, fisura o desplazamiento del diente.

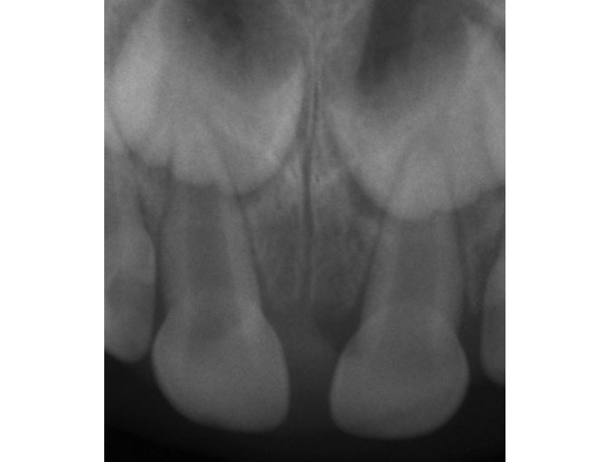
En la imagen superior se ven los incisivos temporales de Gael, el de la derecha que es en realidad su paleto izquierdo es el que ha recibido el golpe.
En la radiografía se comprueba que está entero, que no se ha fracturado la raíz. Los "globos" que se ven encima de ellos es el germen de los dientes permanentes que están en formación. Por suerte, en este caso no hay que hacer nada con la pieza dañada. El diente está bien y prácticamente ha vuelto a recobrar su color original.
¿Qué precauciones tomamos?
Hasta que el diente de leche que ha cambiado de color sea sustituido entre los 6 y 8 años, hay que ser cuidadosos e intentar evitar una posible infección. Si el diente se pone peor, da la cara y avisa fabricando una fístula vestibular (granito de pus a nivel de la encía del diente) o un flemón, (leve hinchazón del labio y debajo de la nariz). En ese caso, habrá que acudir al dentista para que lo valore e indique el tratamiento más adecuado.
También se podrá resolver estéticamente, en caso de que haya diferencia de color con respecto a los otros dientes. El dentista podrá “maquillarlo” para que recobre su color original. Pero lo más importante, sin duda, es hacer un seguimiento de la pieza para asegurarnos siempre que está sana.