Los problemas neurológicos comienzan en el útero

Un estudio prionero demuestra la actividad cerebral de los bebés dentro de su madre y las diferencias que existen entre los bebés nacidos a término y los bebés prematuros. Es la primera vez que se comprueba el movimiento neuronal en el vientre materno con esta calidad.
Los problemas neurológicos comienzan en el útero

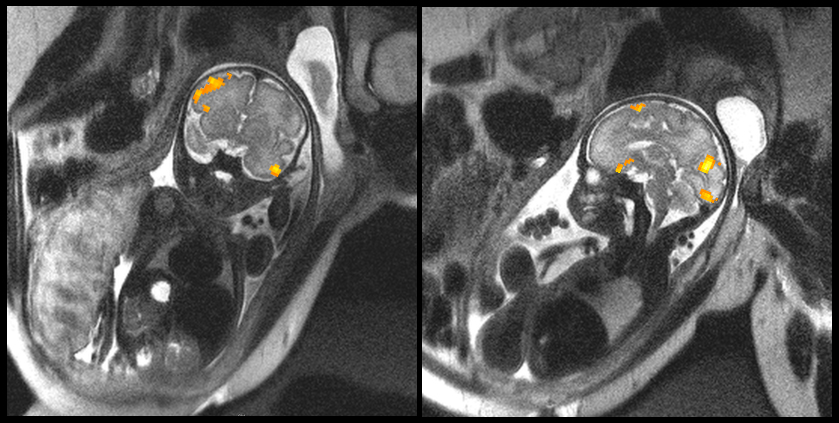
Actividad cerebral de prematuros vs bebés a término

Investigadores neurocientíficos de la Facultad de Medicina de la Universidad Estatal Wayne de Detroit, (Michigan) han realizado un pionero estudio de la actividad cerebral en fotografías de los bebés en el vientre materno para confirmar que “los problemas neurológicos subyacentes pueden comenzar en el útero”, según la científica Moriah Thomason, líder del proyecto.

Los resultados proporcionan la primera evidencia directa de alteración de la función cerebral en los fetos que van a nacer prematuramente, y que en última instancia, “apuntan a maneras de remediar o incluso prevenir tales lesiones tempranas”. El estudio quería hallar la razón por la que los bebés nacidos prematuramente son más propensos a desarrollar  autismo o trastorno por déficit de atención e hiperactividad.

Los investigadores encontraron una diferencia en cómo ciertas regiones cerebrales se comunican entre sí en bebés prematuros. Aunque los resultados son preliminares debido a que el estudio era pequeño, se realizaron resonancia magnética funcional (fMRI) en 32 bebés (14 de ellos fueron prematuros), han podido comprobar la importancia del trabajo de la neuroimagen fetal. "Aprovechar el poder de estas herramientas avanzadas nos está ofreciendo por primera vez la oportunidad de explorar el inicio de los problemas neurológicos que están ocurren en el útero", dice Catherine Limperopoulos, una neurocientífico pediátrico en el Children's National Medical Center en Washington, D.C.

El lenguaje, la parte del cerebro más afectada

En palabras de Thomason: "La mayoría de las embarazadas llegan a término pero existe una población que está en mayor riesgo de  parto prematuro y problemas de desarrollo”.

El equipo estudió la "conectividad funcional" en el cerebro, usando fMRI para determinar qué regiones cerebrales sincronizan la actividad cuando el sujeto no está involucrado en ninguna tarea en particular como es el caso del vientre materno. La actividad sincronizada entre las regiones del cerebro, según el pensamiento, muestra que esas regiones están bien conectadas y comparten información.

Uno de los principales hallazgos del estudio es que en el caso de los bebés prematuros se encontró un pequeño parche en el lado izquierdo del cerebro, en un área que se convierte en un centro de procesamiento del lenguaje, tenía una conectividad más débil con otras regiones del cerebro que en los bebés nacidos a término. Hao Huang, que estudia el desarrollo del cerebro neonatal en la Universidad de Pensilvania, considera "que detectar esta diferencia en la conectividad tan temprano es algo interesante". La detección temprana para problemas del lenguaje es la clave del éxito, por eso este estudio plantea la importancia de rastrear a estos niños nacidos prematuramente para poder ayudarles.

Diferencias tangibles en las madres de bebés prematuros

Hasta ahora se pensaba que la alteración en la actividad cerebral de los bebés prematuros se debía al estrés, la privación de oxígeno u otras posibles lesiones sucedidas durante el parto, y este estudio demuestra que el deterioro cerebral comienza antes de nacer... Las madres que tuvieron bebés prematuros presentaban “más inflamación en su tejido placentario”, lo que lleva a Thomason a sospechar que dicha infección podría jugar un papel clave.

Grandes avances científicos

Este tipo de estudio habría sido imposible hace poco tiempo. Uno de los mayores problemas en la neuroimagen fetal es que un bebé dentro del saco amniótico es un objetivo en movimiento y difícil de realizar una resonancia magnética, pero gracias a las mejoras de los algoritmos Veronika Schöpf, matemática de la Universidad de Graz en Austria, han logrado captar con nitidez las resonancias en movimiento.

El gran misterio que queda por resolver es cómo a lo largo del embarazo, el cerebro humano se transforma de un simple tubo lleno de líquido en un órgano complejo dispuesto a percibir e interactuar con el mundo exterior. La forma en que se desarrolla este proceso es el gran desconocido, pero gracias a las resonancias magnéticas mejoradas parece que podrá resolverse.

 

Fuente: Sciencemag.org

Recomendamos en